JavaScript is disabled in your browser. Please enable JavaScript to view this website.

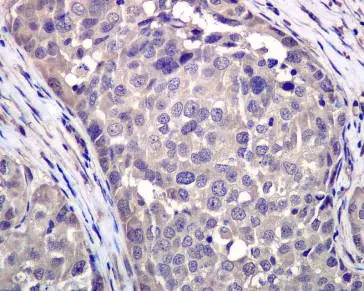
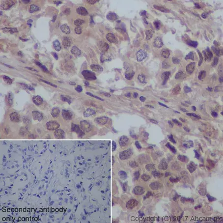
Anti-VCP antibody [EPR3307(2)](AB109240)

$undefined

Anti-VCP antibody [EPR3307(2)](AB109240)

Anti-VCP antibody [EPR3307(2)](AB109240)

Anti-VCP antibody [EPR3307(2)](AB109240)

Anti-VCP antibody [EPR3307(2)](AB109240)

Anti-VCP antibody [EPR3307(2)](AB109240)

Anti-VCP antibody [EPR3307(2)](AB109240)

Anti-VCP antibody [EPR3307(2)](AB109240)

Anti-VCP antibody [EPR3307(2)](AB109240)

Anti-VCP antibody [EPR3307(2)](AB109240)

Anti-VCP antibody [EPR3307(2)](AB109240)

Rabbit Recombinant Monoclonal VCP antibody. Suitable for IHC-P, IP, WB, ICC/IF, Flow Cyt (Intra) and reacts with Human, Mouse, Rat samples. Cited in 28 publications.
Specifications
Shipped At Conditions Blue Ice
Appropriate Long term Storage Conditions Store at -20°C.
Clonality Monoclonal
Applications Flow Cyt (Intra), ICC/IF, IHC-P, IP, WB
Species Reactivity Human, Mouse, Rat
Isotype IgG