JavaScript is disabled in your browser. Please enable JavaScript to view this website.

Anti-Tryptophanyl tRNA synthetase/WRS antibody [EPR3423](AB109213)

$undefined

Anti-Tryptophanyl tRNA synthetase/WRS antibody [EPR3423](AB109213)

Anti-Tryptophanyl tRNA synthetase/WRS antibody [EPR3423](AB109213)

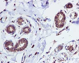
Rabbit Recombinant Monoclonal Tryptophanyl tRNA synthetase/WRS antibody. Suitable for IHC-P, WB and reacts with Human, Rat samples.
Specifications
Shipped At Conditions Blue Ice
Appropriate Long term Storage Conditions Store at -20°C.
Clonality Monoclonal
Applications ICC/IF, IHC-P, IP, WB
Species Reactivity Human, Rat
Isotype IgG