JavaScript is disabled in your browser. Please enable JavaScript to view this website.

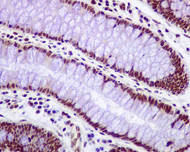
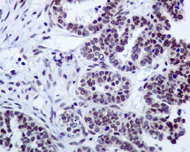
Anti-RPA32/RPA2 antibody [EPR2876(2)](AB109084)

$undefined

Anti-RPA32/RPA2 antibody [EPR2876(2)](AB109084)

Anti-RPA32/RPA2 antibody [EPR2876(2)](AB109084)

Anti-RPA32/RPA2 antibody [EPR2876(2)](AB109084)

Anti-RPA32/RPA2 antibody [EPR2876(2)](AB109084)

Anti-RPA32/RPA2 antibody [EPR2876(2)](AB109084)

Anti-RPA32/RPA2 antibody [EPR2876(2)](AB109084)

Anti-RPA32/RPA2 antibody [EPR2876(2)](AB109084)

Anti-RPA32/RPA2 antibody [EPR2876(2)](AB109084)

Rabbit Recombinant Monoclonal RPA32/RPA2 antibody. Suitable for ChIC/CUT&RUN-seq, IHC-P, WB, ICC/IF, Flow Cyt (Intra) and reacts with Human, Rat samples. Cited in 2 publications.
Specifications
Shipped At Conditions Blue Ice
Appropriate Long term Storage Conditions Store at -20°C.
Clonality Monoclonal
Applications Human, Rat
Species Reactivity ChIC/CUT&RUN-seq, Flow Cyt (Intra), ICC/IF, IHC-P, IP, WB
Isotype IgG