JavaScript is disabled in your browser. Please enable JavaScript to view this website.

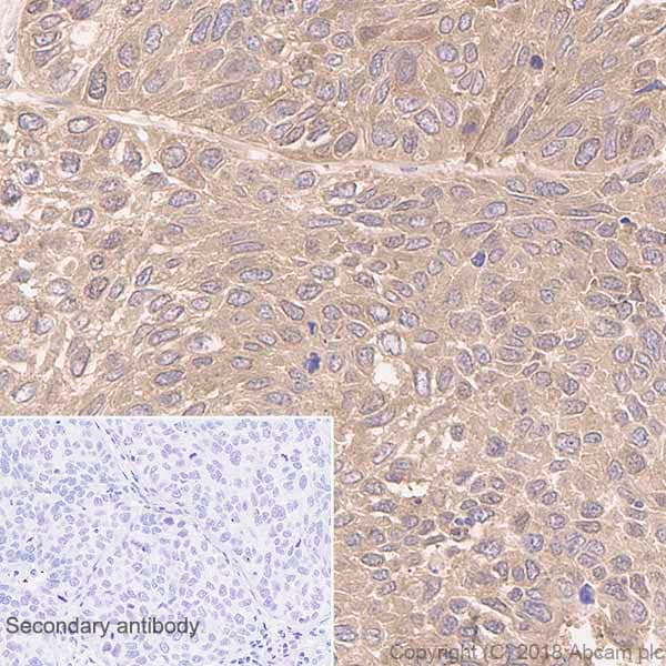
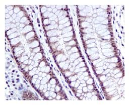
Anti-HPRT antibody [EPR5299](AB109021)

$undefined

Anti-HPRT antibody [EPR5299](AB109021)

Anti-HPRT antibody [EPR5299](AB109021)

Anti-HPRT antibody [EPR5299](AB109021)

Anti-HPRT antibody [EPR5299](AB109021)

Anti-HPRT antibody [EPR5299](AB109021)

Anti-HPRT antibody [EPR5299](AB109021)

Anti-HPRT antibody [EPR5299](AB109021)

Rabbit Recombinant Monoclonal HPRT antibody. Suitable for IHC-P, IP, WB and reacts with Human, Rat, Mouse samples. Cited in 18 publications.
Specifications
Shipped At Conditions Blue Ice
Appropriate Long term Storage Conditions Store at -20°C.
Clonality Monoclonal
Applications Human, Mouse, Rat
Species Reactivity Flow Cyt, ICC/IF, IHC-P, IP, WB
Isotype IgG