JavaScript is disabled in your browser. Please enable JavaScript to view this website.

Anti-Trefoil Factor 3 antibody [EPR3974](AB108599)

$undefined

Anti-Trefoil Factor 3 antibody [EPR3974](AB108599)

Anti-Trefoil Factor 3 antibody [EPR3974](AB108599)

Anti-Trefoil Factor 3 antibody [EPR3974](AB108599)

Anti-Trefoil Factor 3 antibody [EPR3974](AB108599)

Anti-Trefoil Factor 3 antibody [EPR3974](AB108599)

Anti-Trefoil Factor 3 antibody [EPR3974](AB108599)

Anti-Trefoil Factor 3 antibody [EPR3974](AB108599)

Anti-Trefoil Factor 3 antibody [EPR3974](AB108599)

Anti-Trefoil Factor 3 antibody [EPR3974](AB108599)

Anti-Trefoil Factor 3 antibody [EPR3974](AB108599)

Anti-Trefoil Factor 3 antibody [EPR3974](AB108599)

Anti-Trefoil Factor 3 antibody [EPR3974](AB108599)

Anti-Trefoil Factor 3 antibody [EPR3974](AB108599)

Anti-Trefoil Factor 3 antibody [EPR3974](AB108599)

Anti-Trefoil Factor 3 antibody [EPR3974](AB108599)

Anti-Trefoil Factor 3 antibody [EPR3974](AB108599)

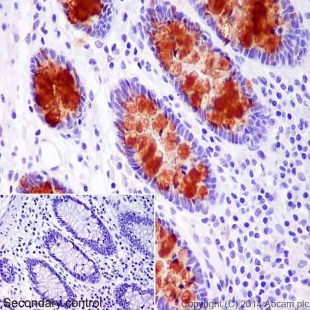
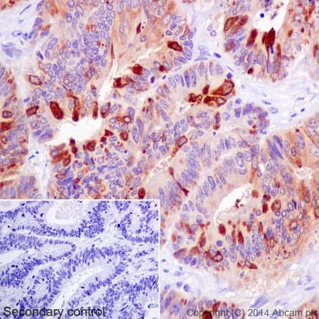
Rabbit Recombinant Monoclonal Trefoil Factor 3 antibody. Suitable for IHC-P, IP, WB and reacts with Human samples. Cited in 23 publications.
Specifications
Shipped At Conditions Blue Ice
Appropriate Long term Storage Conditions Store at -20°C.
Clonality Monoclonal
Applications IHC-P, IP, WB
Species Reactivity Human
Isotype IgG