JavaScript is disabled in your browser. Please enable JavaScript to view this website.

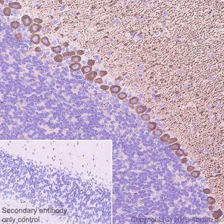
Anti-IP3 receptor antibody [EPR4537](AB108517)

$undefined

Anti-IP3 receptor antibody [EPR4537](AB108517)

Anti-IP3 receptor antibody [EPR4537](AB108517)

Anti-IP3 receptor antibody [EPR4537](AB108517)

Anti-IP3 receptor antibody [EPR4537](AB108517)

Anti-IP3 receptor antibody [EPR4537](AB108517)

Anti-IP3 receptor antibody [EPR4537](AB108517)

Rabbit Recombinant Monoclonal IP3 receptor antibody. Suitable for IP, WB, IHC-P and reacts with Mouse, Rat, Human samples. Cited in 10 publications.
Specifications
Shipped At Conditions Blue Ice
Appropriate Long term Storage Conditions Store at -20°C.
Clonality Monoclonal
Applications Flow Cyt, ICC/IF, IHC-P, IP, WB
Species Reactivity Human, Mouse, Rat
Isotype IgG