JavaScript is disabled in your browser. Please enable JavaScript to view this website.

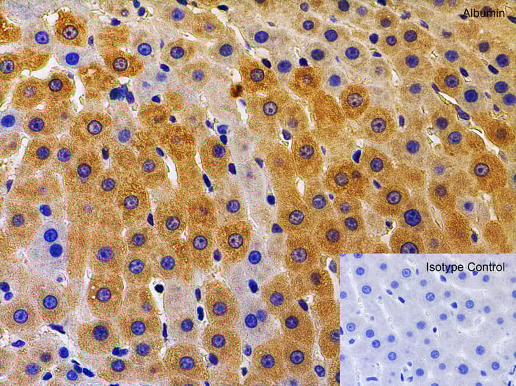
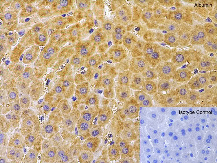
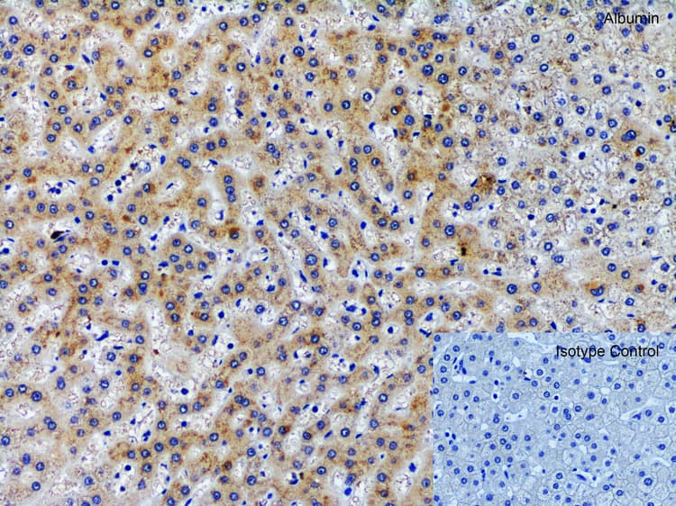
Anti-Albumin antibody(AB106582)

$undefined

Anti-Albumin antibody(AB106582)

Anti-Albumin antibody(AB106582)

Anti-Albumin antibody(AB106582)

Anti-Albumin antibody(AB106582)

Anti-Albumin antibody(AB106582)

Anti-Albumin antibody(AB106582)

Anti-Albumin antibody(AB106582)

Anti-Albumin antibody(AB106582)

Chicken Polyclonal Albumin antibody. Suitable for WB, IF, IHC-P and reacts with Mouse, Rat, Human samples. Cited in 52 publications. Immunogen corresponding to Synthetic Peptide within Human Albumin.
Specifications
Shipped At Conditions Blue Ice
Appropriate Long term Storage Conditions Store at +4°C.
Clonality Polyclonal
Applications Human, Mouse, Rat
Species Reactivity IF, IHC-P, WB
Isotype IgY