JavaScript is disabled in your browser. Please enable JavaScript to view this website.

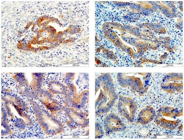
Anti-VEGFC antibody [9/E7](AB106512)

$undefined

Anti-VEGFC antibody [9/E7](AB106512)

Anti-VEGFC antibody [9/E7](AB106512)

Anti-VEGFC antibody [9/E7](AB106512)

Mouse Monoclonal VEGFC antibody. Suitable for IHC-P, IHC-Fr and reacts with Human, Rat samples. Cited in 4 publications. Immunogen corresponding to Recombinant Fragment Protein within Human VEGFC aa 100-250.
Specifications
Shipped At Conditions Blue Ice
Appropriate Long term Storage Conditions Store at -20°C.
Clonality Monoclonal
Applications Human, Rat
Species Reactivity IHC-Fr, IHC-P
Isotype IgG2a