JavaScript is disabled in your browser. Please enable JavaScript to view this website.

Anti-NeuN antibody - Neuronal Marker(AB104225)

$undefined

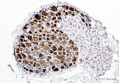
Neun Antibody Neuronal Marker Ab104225  Immunohistochemistry Formalin Pfa Fixed Paraffin Embedded Sections Img100360

Neun Antibody Neuronal Marker Ab104225  Immunohistochemistry Formalin Pfa Fixed Paraffin Embedded Sections Img100856

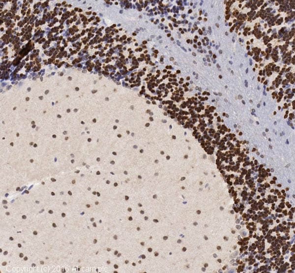
Neun Antibody Neuronal Marker Ab104225  Immunohistochemistry Formalin Pfa Fixed Paraffin Embedded Sections Img139423

Neun Antibody Neuronal Marker Ab104225  Immunohistochemistry Formalin Pfa Fixed Paraffin Embedded Sections Img141346

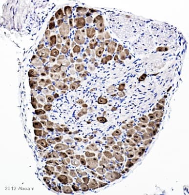
Neun Antibody Neuronal Marker Ab104225  Immunohistochemistry Formalin Pfa Fixed Paraffin Embedded Sections Img41968

Neun Antibody Neuronal Marker Ab104225  Immunohistochemistry Formalin Pfa Fixed Paraffin Embedded Sections Img80936

Neun Antibody Neuronal Marker Ab104225  Immunohistochemistry Free Floating Img133027

Neun Antibody Neuronal Marker Ab104225  Immunohistochemistry Pfa Perfusion Fixed Frozen Sections Img78807

Neun Antibody Neuronal Marker Ab104225  Western Blot Img17406

Anti-NeuN antibody is a rabbit polyclonal antibody that is used in NeuN/Fox-3/Rbfox3 western blot (WB) and immunohistochemistry (IHC). Suitable for human, mouse and rat samples.

-Cited in >240 publications. - Cited in 250 publications
- Affinity purified
Specifications
Shipped At Conditions Blue Ice
Appropriate Long term Storage Conditions Store at -20°C.
Clonality Polyclonal
Applications IHC-FoFr, IHC-FrFl, IHC-P, WB
Species Reactivity Human, Mouse, Rat
Isotype IgG