Anti-CD8 alpha antibody [SP16](AB101500)
$undefined
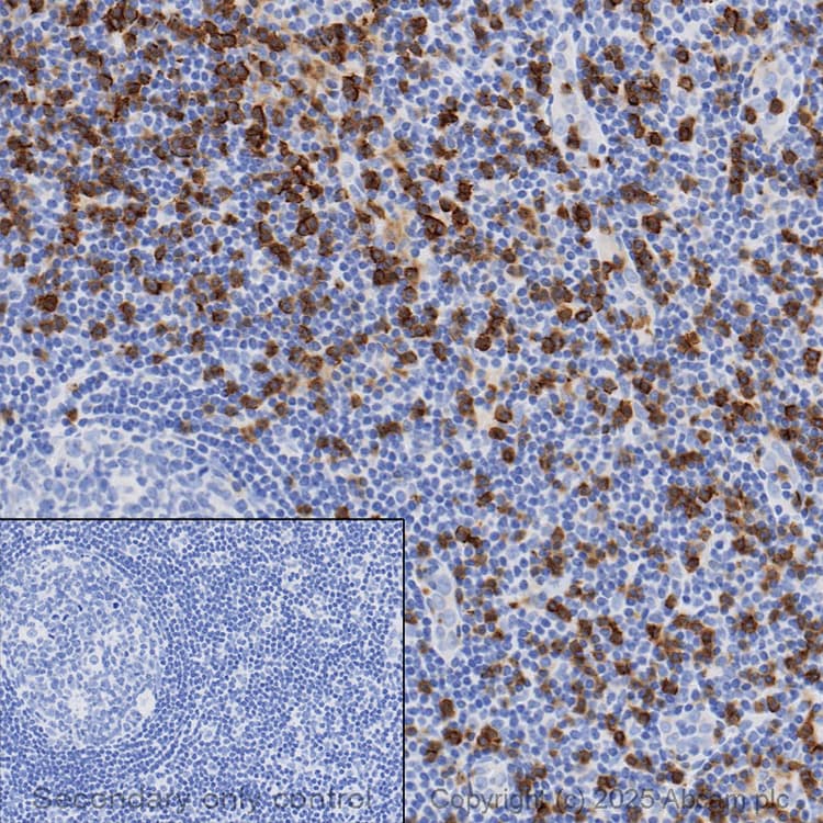
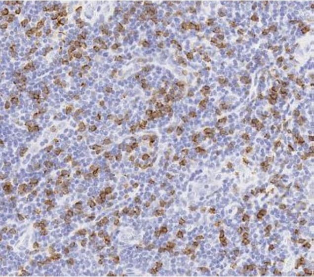
Anti-CD8 alpha antibody [SP16] ab101500 is a rabbit monoclonal antibody that is used in CD8 alpha IHC and flow cytometry. Suitable for human samples.
- Recombinant format for unrivaled batch-batch consistency: no need for same-lot requests
- Specificity and sensitivity confirmed in IHC with multi-tissue microarray (TMA) validation
- Antibody clone SP16 is cited in over 150 publications
- Recombinant format for unrivaled batch-batch consistency: no need for same-lot requests
- Specificity and sensitivity confirmed in IHC with multi-tissue microarray (TMA) validation
- Antibody clone SP16 is cited in over 150 publications
| Shipped At Conditions | Blue Ice |
| Appropriate Long term Storage Conditions | Store at -20°C. |
| Clonality | Monoclonal |
| Applications | Flow Cyt, IHC-P |
| Species Reactivity | Human |
| Isotype | IgG |